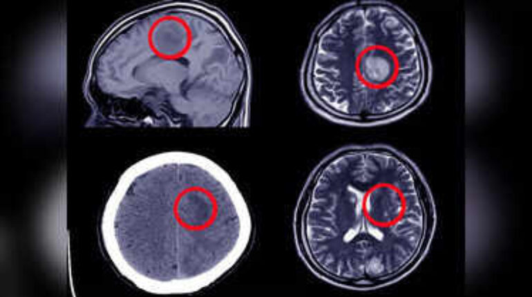
Brain aneurysms often strike without warning—but certain warning signs can help you act before it’s too late.

A brain aneurysm occurs when a weakened blood vessel in the brain bulges or balloons, creating dangerous…

Brain aneurysms often strike without warning—but certain warning signs can help you act before it’s too late.

A brain aneurysm occurs when a weakened blood vessel in the brain bulges or balloons, creating dangerous…
A couple’s vacation turned into a nightmare after the wife spotted a faint blinking light on a smoke detector — and discovered a hidden…
Breast cancer remains one of the most common cancers affecting women worldwide, yet early detection dramatically improves survival…
Voir ici
The basketball community is grieving the loss of Kara Braxton, a former professional player and WNBA champion who…
Voir ici
Not everyone who enters your life is meant to stay — and most departures happen quietly, without drama…
Voir ici